La Endodoncia es una técnica especializada de la Odontología que popularmente se conoce como “Tratamiento del nervio” y que se realiza en lugar de la extracción dental. Se puede decir que la Endodoncia salva los dientes que de otra manera tendrían que ser extraídos. Su mayor ventaja es que permite conservar las piezas dentales naturales.
Cuando se enferma por alguna infección o por algún golpe generalmente reacciona con dolor e inflamación. Si la lesión es tan fuerte que no puede repararse, la pulpa muere. Las principales lesiones, son las caries, golpes y agrietamiento de los dientes. Esto permite que entren microbios que pueden causar una infección que, a su vez, produce pus y gas. Si no se trata, el pus y el gas se acumula afectando el hueso del maxilar o mandíbula, a esto se le llama absceso.
El tratamiento de conductos (Endodoncia ), abarca tres faces que son:
1. Eliminación del nervio enfermo
2. Limpieza del conducto
3. Sellado del conducto
Al eliminar el nervio, el conducto que lo contenía queda vacío; es entonces cuando la limpieza y el sellado de dicho conducto son indispensables para lograr una curación total definitiva.
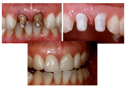
Después del tratamiento de conductos, el diente queda frágil, por lo que es recomendable realizar una restauración final para protegerlo de fracturas o de reinfecciones.